Skip to content

Science News Today

  • Biology
  • Physics
  • Chemistry
  • Astronomy
  • Health and Medicine
  • Psychology
  • Earth Sciences
  • Archaeology
  • Technology

Category: Health and Medicine

Liver Cancer Doesn’t Spread Alone — It Forces Immune Cells to Help, Study Reveals

Liver Cancer Doesn’t Spread Alone — It Forces Immune Cells to Help, Study Reveals

Editors of ScienceNewsTodayOctober 26, 2025October 26, 2025

Liver cancer is one of the deadliest cancers on Earth, not because it grows fast but because it spreads silently.…

No Sugar Before Age 2 Could Delay Heart Disease by Years, Study Suggests

No Sugar Before Age 2 Could Delay Heart Disease by Years, Study Suggests

Editors of ScienceNewsTodayOctober 26, 2025October 26, 2025

A new study published in The BMJ suggests that the human body does not easily forget what is eaten in…

Your Brain Doesn’t Fully Shut Down When You Sleep — New Study Reveals the Secret

Your Brain Doesn’t Fully Shut Down When You Sleep — New Study Reveals the Secret

Editors of ScienceNewsTodayOctober 26, 2025October 26, 2025

Every night, the brain performs a delicate and mysterious maneuver: it withdraws from conscious life without ever going fully offline.…

Scientists Watch Deadly Lung Bug Evolve Live Inside Patients — And Finally Understand Why It Won’t Die

Scientists Watch Deadly Lung Bug Evolve Live Inside Patients — And Finally Understand Why It Won’t Die

Editors of ScienceNewsTodayOctober 26, 2025October 26, 2025

Chronic lung infections do not always announce themselves with drama. Sometimes they live quietly for years, weakening patients slowly, surviving…

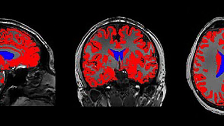
This Open-Source AI Can See Brain Damage Before Doctors Can

This Open-Source AI Can See Brain Damage Before Doctors Can

Editors of ScienceNewsTodayOctober 26, 2025October 26, 2025

The human brain is often described as the most complex object in the known universe. Hundreds of billions of neurons…

Scientists Found the Brain’s “Missing Half” — And It’s Not Neurons

Scientists Found the Brain’s “Missing Half” — And It’s Not Neurons

Editors of ScienceNewsTodayOctober 25, 2025October 26, 2025

For more than a century, the story of the brain has been told as a story about neurons. These electrically…

Scientists Just Upended What We Thought We Knew About Gluten — Millions May Have Been Misled

Scientists Just Upended What We Thought We Knew About Gluten — Millions May Have Been Misled

Editors of ScienceNewsTodayOctober 25, 2025October 26, 2025

For years, millions of people have avoided gluten believing it was the culprit behind their gut pain, fatigue, headaches, and…

Scientists Thought This Fat Enzyme Just Burned Calories — Then They Found It Living a Secret Second Life in the Nucleus

Scientists Thought This Fat Enzyme Just Burned Calories — Then They Found It Living a Secret Second Life in the Nucleus

Editors of ScienceNewsTodayOctober 25, 2025October 26, 2025

For decades, hormone-sensitive lipase — HSL — has been cast in a simple role: the molecule that gives fat cells…

Scientists Say Sweeteners May Actually Help Keep Weight Off — And Your Gut Bugs Agree

Scientists Say Sweeteners May Actually Help Keep Weight Off — And Your Gut Bugs Agree

Editors of ScienceNewsTodayOctober 25, 2025October 26, 2025

Obesity rates continue to climb in nearly every region of the world, raising the risks of type 2 diabetes, liver…

Can a Gene From People Who Live to 100 Help Kids With Progeria Live Longer? New Study Says Yes

Can a Gene From People Who Live to 100 Help Kids With Progeria Live Longer? New Study Says Yes

Editors of ScienceNewsTodayOctober 19, 2025October 26, 2025

For children born with Hutchinson-Gilford progeria syndrome (HGPS), time is an unforgiving companion. Their tiny bodies age at an astonishing…

Scientists Discover the ‘Perfect Pair’ for Fighting Inflammation — It’s Not Just Omega-3s!

Scientists Discover the ‘Perfect Pair’ for Fighting Inflammation — It’s Not Just Omega-3s!

Editors of ScienceNewsTodayOctober 19, 2025October 26, 2025

In a world where shelves overflow with supplements promising stronger immunity, sharper minds, and longer lives, a groundbreaking study from…

Scientists Discover How Your Brain Knows When You’ve Had Enough Water — Before Your Body Does

Scientists Discover How Your Brain Knows When You’ve Had Enough Water — Before Your Body Does

Editors of ScienceNewsTodayOctober 19, 2025October 26, 2025

Every moment of our lives, our bodies are engaged in a delicate balancing act. We breathe, eat, drink, and sleep—all…

Social Media May Be Quietly Rewiring Your Child’s Brain, Study Warns

Social Media May Be Quietly Rewiring Your Child’s Brain, Study Warns

Editors of ScienceNewsTodayOctober 19, 2025October 26, 2025

In the past decade, childhood has changed in ways our ancestors could never have imagined. Playgrounds are quieter, conversations shorter,…

Can a Gut Bacteria Transplant Cure Depression? Scientists Say the Answer Might Be Yes

Can a Gut Bacteria Transplant Cure Depression? Scientists Say the Answer Might Be Yes

Editors of ScienceNewsTodayOctober 19, 2025October 26, 2025

Depression is not just a passing sadness—it is one of humanity’s most pervasive and painful conditions, affecting over 280 million…

Scientists Uncover Mysterious “Brain Cleaning Waves” That Happen Only in Deep Sleep

Scientists Uncover Mysterious “Brain Cleaning Waves” That Happen Only in Deep Sleep

Editors of ScienceNewsTodayOctober 18, 2025October 26, 2025

Every night, as we drift into slumber, our brains enter a remarkable state of restoration and renewal. While our bodies…

Scientists Discover Fat Molecules Secretly Guide the Body’s Killer Immune Cells

Scientists Discover Fat Molecules Secretly Guide the Body’s Killer Immune Cells

Editors of ScienceNewsTodayOctober 18, 2025October 26, 2025

When the immune system goes to war, it does so with extraordinary precision. Each strike must be accurate—too weak, and…

Can Hay Fever Hurt Your Eyes? Massive Korean Study Uncovers a Hidden Risk to Vision

Can Hay Fever Hurt Your Eyes? Massive Korean Study Uncovers a Hidden Risk to Vision

Editors of ScienceNewsTodayOctober 14, 2025October 26, 2025

Imagine waking up one morning to find that your vision in one eye has dimmed, colors seem duller, and every…

Why Do Some People Get Addicted to Cannabis While Others Don’t? The Answer May Be in Your Genes

Why Do Some People Get Addicted to Cannabis While Others Don’t? The Answer May Be in Your Genes

Editors of ScienceNewsTodayOctober 14, 2025October 26, 2025

Scientists have long known that our genes influence how we think, behave, and respond to the world around us. Now,…

Quitting Smoking After 50 Could Sharpen Your Mind and Slow Aging, Study Finds

Quitting Smoking After 50 Could Sharpen Your Mind and Slow Aging, Study Finds

Editors of ScienceNewsTodayOctober 14, 2025October 26, 2025

For many people, quitting smoking feels like turning a page — a chance to breathe easier, regain energy, and reclaim…

New Study Reveals 2024–2025 COVID-19 Vaccine Slashes Death Risk by 64% in U.S. Veterans

New Study Reveals 2024–2025 COVID-19 Vaccine Slashes Death Risk by 64% in U.S. Veterans

Editors of ScienceNewsTodayOctober 14, 2025October 26, 2025

Nearly five years after the world’s first encounter with COVID-19, the landscape of the pandemic looks very different — but…

Scientists Uncover Hidden Weakness in Prostate Cancer — And It Could Transform Treatment Forever

Scientists Uncover Hidden Weakness in Prostate Cancer — And It Could Transform Treatment Forever

Editors of ScienceNewsTodayOctober 14, 2025October 26, 2025

In a discovery that could change how doctors treat one of the most common cancers in men, an international team…

Can Inequality Rewire a Child’s Brain? Scientists Uncover a Stunning Link Between Wealth Gaps and Mental Health

Can Inequality Rewire a Child’s Brain? Scientists Uncover a Stunning Link Between Wealth Gaps and Mental Health

Editors of ScienceNewsTodayOctober 13, 2025October 13, 2025

Over the past few decades, the map of global prosperity has been dramatically redrawn. Some communities have flourished, while others…

Posts pagination

← Previous 1 2 3 4 … 64 Next →

Legal

  • About Us
  • Contact Us
  • Disclaimer
  • Editorial Guidelines
  • Privacy Policy
  • Terms and Conditions of Use
Copyright © 2025 Science News Today.
We use cookies to ensure that we give you the best experience on our website. If you continue to use this site we will assume that you are happy with it.