Imagine placing a block of ice on a flat surface and watching it slide away on its own, no hands,…
Ancient Reptile With Mysterious Back Spikes Unearthed in Arizona
In the sunbaked badlands of Arizona’s Petrified Forest National Park, scientists have uncovered the remains of a previously unknown reptile…
Ancient Microbes Hold the Secret Blueprint of Complex Life
One of the most enduring mysteries in biology is how life made the leap from simple microbial cells to the…
The Secret to Creating Quantum Entanglement Might Be Hidden in an Optical Cavity
Entanglement, often described as “spooky action at a distance,” lies at the heart of quantum technology. It allows particles to…
Scientists Witness Hidden Flat Bands Awakening in a Quantum Superconductor
In the quest to design the next generation of quantum technologies, scientists have long dreamed of controlling how electrons move,…
Scientists Discover Hidden Patterns of Light That Could Transform the Future of Technology
In the quest to control light at its most fundamental level, physicists have long sought ways to harness its hidden…
Scientists Edge Closer to Unlocking the Most Mysterious State in Physics
In the strange world of quantum physics, some of the most fascinating states of matter cannot be understood by looking…
Wildfire Smoke Revealed as a Hidden Killer Far Deadlier Than We Ever Imagined
When wildfires sweep across landscapes, the devastation is obvious—forests charred, homes destroyed, and skies painted in ominous shades of gray.…
Smartwatches Begin to Decode the Hidden Patterns of Everyday Life
Smartwatches are already powerful tools, tracking our steps, heart rate, and even sleep patterns. But imagine if they could go…
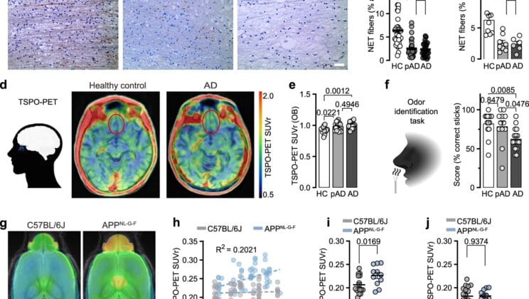
Scientists Uncover How the Nose Warns of Alzheimer’s Years Before Memory Fades
Imagine waking up one morning and realizing your coffee has lost its aroma, or the scent of fresh flowers no…
The Strange Science of Nitrous and the Risks No One Talks About
The balloons look harmless—pastel blue, pink, or yellow, floating gently above the hands of concertgoers. But instead of helium, they’re…
Free Will, the Self, and Consciousness: What Science Says Today
Few questions cut as deeply into the heart of human existence as these: Do we truly choose our actions? What…
Can Consciousness Be Explained by Quantum Physics?
Consciousness is the light of human existence—the subjective sense of being aware, of experiencing thoughts, feelings, perceptions, and memories. We…
Quantum Consciousness: Myths vs. Facts and Real Evidence
Consciousness has always been one of the most profound and unsettling mysteries of existence. We live inside it, experience reality…
Levels of Consciousness: How Scientists Measure Awareness
Consciousness is the shimmering flame at the core of human existence, the hidden fabric that makes experience possible. It is…
Altered States of Consciousness: Dreams, Meditation, and Psychedelics
Consciousness is the most intimate experience we have, yet the least understood. To be conscious is to be alive —…
Panpsychism Explained: Is the Universe Itself Conscious?
Few questions strike as deeply at the heart of existence as this: What is consciousness? For centuries, poets, scientists, philosophers,…
AI and Consciousness: Can Machines Ever Be Self-Aware?
Consciousness is the one enigma that refuses to be pinned down by equations. We can map the brain, measure neural…
Neuroscience of Consciousness: How the Brain Makes Mind
Consciousness is at once the most familiar and the most mysterious phenomenon of human existence. We each wake every morning…
The Hard Problem of Consciousness—Explained Simply
Imagine waking up one morning. You stretch, feel the warmth of sunlight against your skin, hear the distant hum of…
The Mystery of Consciousness: Exploring the Science, Philosophy, and Future of Awareness
From the moment we open our eyes to the world as children, reality floods into us—color, sound, warmth, emotion, memory.…
Pancreatic Cancer May Begin With Cells That Behave Like They Have Dementia
Scientists have uncovered a surprising connection between pancreatic cancer and dementia-like behavior inside cells. In groundbreaking new research, cells in…
 
					 
					 
					 
					 
					 
					 
					 
					 
					 
					 
					 
					 
					 
					 
					 
					 
					 
					 
					 
					 
					