For years, immunotherapy has promised a revolution in cancer treatment. By harnessing a patient’s own immune system, it has delivered…
Women Live Longer With Dementia Yet Men Face a Deadlier Journey
Dementia is often thought of as a single devastating diagnosis, robbing people of memory, independence, and identity. But new research…
The First Sparks of Healing Emerge in a Battle Once Thought Impossible
For families affected by Tay-Sachs and Sandhoff disease, two rare and fatal childhood disorders, hope has often felt like a…
Morning Coffee Proven to Lift the Human Spirit More Than Any Other Time
For millions around the world, mornings don’t truly begin until that first sip of coffee. The aroma rises, the warmth…
Scientists Discover Gut Neurons Hold the Key to Stopping Inflammation
Most of us think of the brain as the organ in our skull, the seat of thought and memory. But…
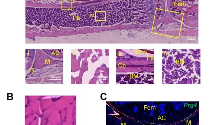
Scientists Uncover Muscle Cells That Transform Into Bone After Injury
For most of us, a broken bone means weeks in a cast and a slow but steady recovery. But when…
Scientists Discover a Secret Code in Tumor Cells That Could Save Children’s Lives
Sometimes the biggest discoveries hide in the smallest details. Researchers at Children’s Hospital of Philadelphia (CHOP) have uncovered that minute…
Scientists Uncover Eight Hidden Genes That Reshape Our Understanding of Schizophrenia
Schizophrenia, a condition that affects how a person thinks, feels, and perceives reality, has long stood as one of medicine’s…
Scientists Uncover Hidden Immune Cells That May Hold the Secret to Stopping Rheumatoid Arthritis
For millions of people around the world, rheumatoid arthritis (RA) is more than a medical diagnosis — it’s a daily…
When Color Fades the Shadows of Depression Grow Stronger
Skin is more than a protective barrier. It is the most visible part of who we are, carrying our identity,…
The Earthquake in Myanmar that Outran Its Own Seismic Waves
On March 28, 2025, the earth tore open beneath Myanmar with a violence few alive will ever forget. At 7.7…
Great Salt Lake Holds a Hidden Record of Human Impact Stretching Back Millennia
Utah’s Great Salt Lake is not just a shimmering expanse of saltwater shimmering beneath the Wasatch Front. It is a…
Scientists Uncover Hidden Molecules in Cannabis Leaves That Could Change Medicine Forever
For decades, cannabis research has been dominated by cannabinoids like THC and CBD—the compounds responsible for its mood-altering effects. But…
Scientists Create a New Form of Carbon That Survives in a Bottle at Room Temperature
For over three decades, the world of chemistry has waited for a moment like this. Since the discovery of fullerenes…
A Ghostly Cluster in Deep Space Challenges the Mystery of Dark Matter
Far beyond the luminous arms of the Milky Way, where our galaxy’s spiral fades into the cold and quiet darkness…
The Hidden Blueprint That Lets Viruses Outwit Life at the Smallest Scale
Viruses are among the most efficient builders on Earth. With astonishing precision, they can pack fragile strands of genetic material…
Schizophrenia’s Code Begins to Crack With Eight Newly Discovered Genes
For more than a hundred years, scientists have struggled to unravel the biological roots of schizophrenia, a severe mental health…
Ancient Humans Carried Stones for Miles and Changed the Future of Our Species
More than 2.6 million years ago, long before the first sparks of fire or the rise of civilizations, small bands…
Scientists Discover “Breathing” Crystal That Could Transform Clean Energy
Imagine a crystal that breathes — not metaphorically, but literally. A team of researchers from Korea and Japan has unveiled…
Scientists Finally Unravel a Quantum Mystery That Defied Physics for a Century
Pluck a guitar string and it shivers with sound, each vibration smaller than the last until silence settles in. Or…
The Moment an Embryo Fights Its Way Into the Womb Has Finally Been Captured
For the first time in history, scientists have peered into one of the most intimate and mysterious moments of human…
The Mystery of How Lush Oases Thrive in the Heart of Arid Lands Is Finally Solved
For decades, scientists and policymakers have relied on a deceptively simple calculation to gauge how wet or dry a place…
 
					 
					 
					 
					 
					 
					 
					 
					 
					 
					 
					 
					 
					 
					 
					 
					 
					 
					 
					 
					 
					