The universe is a grand, unfolding epic of creation and destruction, a stage where stars are born, live out brilliant…
Could a Rogue Black Hole Pass Through Our Solar System?
Imagine looking up at the night sky and realizing something is wrong. The stars seem to be shifting, strange gravitational…
Stellar Cannibalism: When Stars Eat Their Neighbors
Deep in the vast blackness of space, where the rules of life and death play out on scales beyond human…
Hypernovae: The Most Violent Explosions in the Universe
Among the countless wonders of the universe, few events are as spectacular—or as terrifying—as hypernovae. These cosmic explosions release more…
The Ghostly Hunt for Quantum Gravity: Neutrinos Under the Sea
Quantum gravity is one of the biggest unsolved mysteries in modern physics. It is the missing bridge between general relativity—which…
Harnessing Earth’s Rotation for Electricity: A Groundbreaking Experiment by Princeton Physicists
For centuries, humans have sought innovative ways to generate energy, from harnessing the sun’s rays to tapping into the power…
Statins Significantly Reduce Liver Cancer and Complications in Chronic Liver Disease, Study Finds
A groundbreaking study by researchers at Harvard Medical School has revealed that statins, commonly prescribed cholesterol-lowering drugs, significantly reduce the…
The Remarkable Journey of the Olive Tree: A 3,700-Year Legacy of Human Influence
The olive tree, an enduring symbol of the Mediterranean, has shaped the region’s landscapes, economies, and cultures for thousands of…
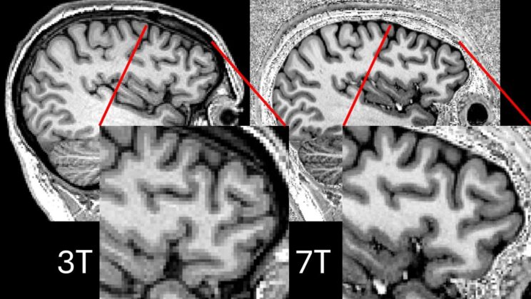
New 7T MRI Technique Reveals Hidden Epilepsy Lesions
For decades, patients with drug-resistant epilepsy have faced a harrowing uncertainty. When medications fail, and seizures persist, the only known…
The Mysteries of Infant Memory: What We Now Know About Your Earliest Experiences
If you’ve ever tried to think back to your earliest memory, chances are you can’t recall much from your first…
Scientists Unveil the Hidden Architecture of Memory
How does the brain store memories? It’s a question that has intrigued scientists and philosophers for centuries. Now, groundbreaking research…
Hominins Used Natural Stone Spheres for Over a Million Years
For over a century, archaeologists and paleoanthropologists have uncovered curious spherical stones scattered across ancient hominin sites in Africa, Europe,…
Birdsong vs. Traffic: How Galápagos Warblers Are Battling Noise Pollution
In the remote expanse of the Pacific Ocean, over 500 miles off Ecuador’s coast, the Galápagos Islands stand as a…
The Risk-Takers and the Cautious: What Worms Teach Us About the Sexes—And Ourselves
In human society, age-old stereotypes often paint men as daring adventurers and women as careful navigators of risk. From the…
Why Do Hummingbirds Dress Like Males? Nature’s Clever Costume Game
Have you ever wondered why humans wear clothes? Sure, there are practical reasons—protection from the elements, modesty, cultural norms—but one…
Dyson Swarms: Harvesting the Sun, Heating the Planet
Imagine a future where humanity—or some distant, hyper-advanced civilization—has grown so powerful, so energy-hungry, that the meager output of an…
Euclid Telescope Uncovers Thousands of Dwarf Galaxies
Two years into its mission, the European Space Agency’s Euclid space telescope is living up to its promise of unlocking…
The Asteroid That Killed the Dinosaurs: Could It Happen Again?
Sixty-six million years ago, Earth was thriving in the Late Cretaceous Period. Dinosaurs roamed forests and plains. Giant marine reptiles…
Why Are Some Stars Blue and Others Red?
On a clear night, away from the glare of city lights, the sky transforms into a canvas dotted with thousands…
The Oort Cloud: The Solar System’s Mysterious Outer Shell
Imagine a vast, icy realm, so distant from Earth that even light, traveling at 186,000 miles per second, would take…
Can We Survive a Supernova Near Earth?
Imagine one peaceful evening, you look up at the sky. The stars are twinkling, as they always do. But then,…
The Big Bang Theory: The Epic Story of the Universe’s Birth and Beyond
Since the dawn of humanity, we’ve asked the biggest question imaginable: Where did everything come from? When you look up…
 
					 
					 
					 
					 
					 
					 
					 
					 
					 
					 
					 
					 
					 
					 
					 
					 
					 
					 
					 
					 
					